Steps Followed For The Best Orthodontic treatment Process At Growing Smiles
Step 1 – Orthodontic Consultation
The lifestyle requirements for every patient will be taken into consideration. Your Orthodontist will ask you if it would be compatible with your profession & lifestyle if the orthodontic appliance is completely visible & partially visible. If both the scenarios are incompatible only then the patient is given the option on Invisible clear aligners. Your chief complaint has also recorded by the Orthodontists at Growing Smiles to plan a more customized treatment for you! The motive of the above the case record is to make the orthodontic treatment as comfortable & affordable as possible.
“The motive of the above case record is to make the orthodontic treatment as comfortable & affordable as possible.” – Dr. Vivek Aithal Orthodontist and Invisalign Specialist
Step 2 – Intraoral Photography
Intraoral photography is done by taking pictures of focused mirror images. The motive of the above step is to show the patient the extent of the malocclusion & for the orthodontist to study the case an plan the right orthodontic treatment for you.
“Facial form assessment is important to get the right alignment with respect to the facial structure.” – Dr. Janani Rangaswamy MDS Pediatric Dentist
Step 3 – iTero digital impression

A digital impression capturing all your permanent teeth is taken. The iTero scan is an advanced 5D dental technology which emits & captures the surface to record the digital impression by your Orthodontist at Growing smiles. This takes about 3 to 4 minutes & the Orthodontist will show you the 5D impression & malocclusion on the iTero screen and the best way to plan the Orthodontic treatment.
What is an Orthodontist specifically trained in when it comes to Invisalign certification?
The iTero scanning is done for Invisalign & other clear aligners if the patient opts for ceramic or metal braces an alginate impression is taken and the treatment is planned and explained on the traditional dental impression! The best Orthodontic treatment steps are also followed in Invisalign Bangalore centers as well as the protocols are globally standardised from California USA to Bangalore India.
“The advantage of the iTero scan is that it records the digital impression with more than 90% accuracy.” – Dr. Vivek Aithal Orthodontist and Invisalign Specialist
Step 3 – Orthodontic treatment simulation

The iTero scan integrates with the ClinChek software which simulates the best orthodontic treatment outcome with more than 90% accuracy even before the treatment starts. This way you can see the treatment finish and it also enables our Orthodontists at Growing Smiles to plan the best possible Orthodontic treatment reducing the space for any human error.
“The ClinCheck software which is integrated with AI technology has a compilation of 7 million completed orthodontic cases in its database & runs your 5D Orthodontic digital impression through it to determine the right treatment plan and outcome in just 5 seconds. .” – Dr. Sushil Kumar (Cosmetic Dentist)
Step 4 – Extra oral Orthodontic facial assessment

Your Orthodontists at Growing Smiles dental clinic will assess your facial for which will fall into the below categories.
Orthodontic treatment planning Based on the shape of your head –
Dolichocephalic – This is usually the second most common scenario we have observed at Growing Smiles Orthodontics. Patients in this category had slightly narrow, dental arches, face & head.
Mesocephalic – This was the most commonly seen facial type at our Orthodontic practice. Patients who fall into this orthodontic treatment category had a fairly normal dental arch that resonates with the shape of the head.
Brachycephalic – Patients under this category usually have a slightly short head & broad dental arches.
“With respect to the shape of the head – Apart from your teeth & jaws Your facial growth & proportions are also assessed so that the smile resonates with the face to give an excellent and aesthetic finish! Your facial profile pictures will be recorded with an anterior & lateral view.”- Dr. Vivek Aithal MDS Orthodontist and Invisalign Specialist
Step 5 – Facial Form Assessment

Our Orthodontist in Bangalore at Growing Smiles will then upload facial pictures into an Orthodontic assessment software. It will categorize the facial forms into the below three for the right treatment planning!
1) Euryprosopic – In these types of Orthodontic cases, the face is usually short & quite broad.
2) Leptoprosopic – Usually narrow & long faces fall into this Orthodontic category.
3) Mesoprosopic – This is the most commonly seen facial form by our Orthodontists. This the normal average face form which most Indians have.
“Facial form assessment is important to get the right alignment with respect to the facial structure.”- Dr. Janani Rangaswamy & Dr. Debarchhana Jena (Pediatric dentists)
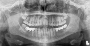
Step 6 – OPG (Full Mouth X-Ray)

A full mouth X-Ray will capture a panoramic radiograph of all your teeth. This is required before conducting Orthodontic tooth movement to detect any underlying conditions such as caries or root infections. Fillings or root canal treatment will be required to restore the integrity of any affected tooth or teeth before staring any Orthodontic treatment or cosmetic dentistry.
“The OPG also detects the underlying jaw bone density because good bone health is important for conducting Orthodontic tooth movements!”- Dr. Vivek Aithal Orthodontist and Invisalign Specialist
Step 7 – Orthodontic braces selection

At growing Smiles Orthodontists Bangalore, we have a wide range of different types of braces to choose from. The dental braces cost in Bangalore on an average are mentioned below.
Metal Braces – These are also called traditional braces & are also the most affordable ones starting at just 28000 Rupees.
Ceramic Braces – These are also called traditional ceramic braces and the orthodontic brackets match the tooth color making them less visible when you smile. These are also very affordable at Growing Smiles Orthodontics starting at just 35000 Rupees
Invisalign – These are also the Invisible types of Orthodontic braces. They are clear, transparent removable & comfortable. At Growing Smiles, we have one of the best orthodontists in Bangalore India with a gold certification for Invisalign!
Self-ligating braces from American Orthodontics – These have lower components such as wires & elastics. They are known and proven to create very precise tooth movements, the duration of the Orthodontic treatment at Growing Smiles might also be lower because they deliver more precise forces on the teeth. They are available in metal & ceramic types starting at 64000 Rupees.
Lingual Braces – These are also called incognito braces. They are the same as traditional & self-ligating braces apart from the fact that they are placed behind the teeth in a way that they are not seen from the anterior view.
Contact us
GROWING SMILES™ Pediatric Dentistry & Orthodontics
Address: Converge by UKn, No 78/2, Ground floor, Nallurahalli Main Rd, Whitefield, Bengaluru, Karnataka 560066
Products and Services: growingsmilesdentists.com
Appointments: growingsmilesdentists.com
Phone: 093193 73963

